Răng miệng là một phần quần quan trọng làm nên sự hoàn thiện trong cơ thể của con người. Những tác nhân bên ngoài như độ PH của nước hay thực phẩm có ảnh hưởng không nhỏ tới chất lượng sức khỏe của hệ thống răng miệng. Đặc biệt phải kể đến một hiểm họa khôn lường là thuốc lá. Người hút thuốc hay chỉ gián tiếp ngửi khói thuốc thì bộ phần răng miệng của bạn cũng chịu những tác động tiêu cực. Trong đó, bệnh nướu răng, ung thư niêm mạc lợi và mất men răng là hai bệnh phổ biến nhất hiện nay.
Tác hại của thuốc lá đối với sức khỏe răng miệng:
Theo thống kê Y khoa, những người hút thuốc lá dễ mắc các bệnh về răng miệng nhiều gấp 3 – 6 lần và nguy cơ bị rụng răng cao gấp 2 lần so với người bình thường. Các bệnh lý răng miệng thường gặp là viêm nhiễm ở răng, lợi và phần xương xung quanh răng.
Thuốc lá làm tăng nguy cơ mắc bệnh ung thư miệng. Một bệnh tiến triển nhanh chóng và dẫn đến tử vong nếu không được chẩn đoán và điều trị sớm.
Hơn nữa, thuốc lá cũng làm tăng nguy cơ mắc bệnh nướu và làm chậm lại quá trình liền vết thương sau nhổ răng hoặc phẫu thuật khác trong miệng. Thuốc lá cũng làm phá hủy tổ chức lợi dẫn đến hở chân răng.
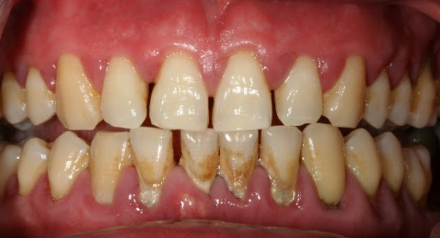
1/ Bệnh nha chu:
(Bệnh nhân bị viêm nướu, cao răng bám dày, răng lung lay do hút thuốc lá lâu ngày)
Người hút thuốc có nguy cơ bị viêm lợi nhiều hơn bởi có nhiều mảng bám răng và cao răng ở cả trên và dưới lợi. Do đó, hút thuốc lá nhiều sẽ gây ra các nguy cơ như viêm lợi, hoại tử, đau nhức, thậm chí là khiến răng lung lay và mất răng.
2/ Nấm trong khoang miệng (Candida miệng):
Trong khoang miệng có màu trắng kem trên lưỡi, niêm mạc má, đôi khi trên vòm miệng, nướu răng và amidan. Hút thuốc lá khiến Candida miệng phát triển, gây các triệu chứng đau nhức, khó chịu.
3/ Niêm mạc miệng bị tổn thương:
(Bệnh nhân bị tổn thương niêm mạc, khó chịu khi ăn uống)
Viêm miệng do nicotine (nicotinic stomatitis) là một sự thay đổi ở niêm mạc vòm miệng cứng do hút thuốc quá nhiều, niêm mạc vòm miệng trở nên trắng với các u nhỏ gồ lên, trên đó có các chấm đỏ. Tổn thương này sẽ mất đi sau khi dừng thuốc lá, một số trường hợp hiếm trở thành ung thư biểu mô.
4/ Các bệnh hắc tố bào, vôi răng:
Thuốc là nguyên nhân gây hôi miệng gây cảm giác mất tự tin khi giao tiếp và ảnh hưởng đến mọi người xung quanh. Mặt khác, bệnh về hắc tố bào làm niêm mạc miệng có màu sẫm, vôi răng bám dày, răng sẫm màu, đenn chân răng làm mất thẩm mỹ.
5/ Ảnh hưởng đến cấy ghép implant và khiến vết thương khó lành:
Mong muốn cấy ghép implant, phục hình răng giả để đảm bảo chức năng ăn nhai và tính thẩm mỹ của hàm răng. Tuy nhiên, nếu bạn là người nghiện hút thuốc lá hay hút thuốc lá lâu năm sẽ làm tăng gấp 3 lần nguy cơ đào thải răng cấy ghép, thậm chí không thể cấy ghép implant.
Ngoài ra, đối với những bệnh nhân tiến hành phẫu thuật ở vùng miệng hoặc thực hiện tiểu phẫu mà hút thuốc lá nhiều thì vết thương sẽ rất khó lành. Bởi trong thuốc lá có một chất gây co mạch ngoại vi, làm giảm cung cấp máu đến vùng có vết thương. Bên cạnh đí, carbon monoxit và các chất hóa học có trong thuốc lá gây ức chế quá trình sinh học giúp làm lành vết thương, làm chậm hình thành cục máu đông sau khi nhổ răng, đồng thời làm giảm chức năng của bạch cầu nên bệnh nhân có nguy cơ bị nhiễm khuẩn cao hơn.
6/ Vị giác và xúc giác thay đổi:
Vị giác và xúc giác của người hút thuốc bị thay đổi bởi khói và các chất hóa học có trong thuốc lá. Mức ảnh hưởng càng tăng nếu dùng thuốc lá càng nhiều. Và người hút thuốc có xu hướng ăn mặn hơn người không hút thuốc.
7/ Ảnh hưởng đến thẩm mỹ và giao tiếp:
(Hút thuốc lá là một trong những nguyên nhân gây nên bệnh hôi miệng)
Hơn 90% người hút thuốc lá mắc vôi răng nặng, khói bám lên răng, làm đổi màu răng, đổi màu hàm giả, đổi màu các chất trám răng. Đồng thời, hút thuốc lá quá nhiều sẽ làm các gai lưỡi phát triển quá mức, có màu xám, tạo nếp gấp giúp vi khuẩn dễ bám và gây nên tình trạng hôi miệng, ảnh hưởng đến thẩm mỹ khi cười, kém tự tin khi giao tiếp.
8/ Ung thư khoang miệng:
Có khoảng 90% số người bị ung thư miệng, môi, lưỡi và cổ họng do hút thuốc và rủi ro mắc bệnh tăng tỷ lệ thuận với mức độ hút hoặc nhai thuốc. Khoảng 37% các bệnh nhân vẫn tiếp tục hút sau liệu trình điều trị ung thư có dấu hiệu khối u di căn sang vị trí khác như miệng, môi, lưỡi, cổ họng.
Theo nhiều nghiên cứu khoa học cho thấy, những người hút thuốc lá có tỷ lệ mắc các bệnh ung thư miệng cao gấp 27 lần và ung thư thanh quản gấp 12 lần so với những người không hút thuốc, không tiếp xúc với môi trường có nhiều khói thuốc. Đặc biệt, hút thuốc lá đi kèm với uống nhiều rượu, bia, đồ uống có cồn sẽ có sự tương tác hỗ trợ làm tăng nguy cơ mắc bệnh ung thư khoang miệng.
Giải pháp điều trị các bệnh răng miệng do hút thuốc lá gây ra:
Hút thuốc lá là kẻ thù số 1 của răng miệng, nguyên nhân gây ra nhiều bệnh tật nguy hiểm cho người hút và người hít phải khói thuốc, đặc biệt là phụ nữ, phụ nữ mang thai và trẻ em. Vì thế, mọi người nên chủ động phòng tránh tác hại của thuốc lá trước khi khắc phục hậu quả của nó bằng cách:
Nói không với thuốc lá ngay bây giờ.
Nên hạn chế và từ bỏ hẳn thói quen hút thuốc lá.
Không đứng gần người đang hút thuốc lá; Không hút thuốc trong phòng có trẻ em, phụ nữ mang thai, ….
Bảo vệ răng miệng đúng cách bằng việc đánh răng 2 lần trên ngày, dùng nước súc miệng chuyên dùng để loại bỏ vi khuẩn. Nên dùng chỉ nha khoa để loại bỏ các mảng bám thức ăn ở các vị trí khó làm sạch bởi bàn chải, không nên dùng tăm xỉa răng.
Cạo vôi răng định kỳ tại nha khoa uy tín.
Khám nha định kỳ 4-6 tháng/ lần để bác sĩ khám và có kế hoạch điều trị kịp thời
(Hãy nói không với thuốc lá để bảo vệ sức khỏe cho bạn và những người xung quanh)
Thuốc lá gây ra nhiều chứng bệnh về răng miệng, thế nên các bạn hãy tập bỏ thuốc lá càng sớm càng tốt. Không chỉ vì thẩm mỹ của hàm răng mà còn vì sức khỏe của cơ thể, bạn hãy “nói không” với thuốc lá ngay hôm nay. Hãy liên hệ với Nha Khoa Peace để được tư vấn khi thấy bất kỳ dấu hiệu bất thường của răng miệng nhé!
Peace Dentistry - Nha khoa uy tín nhất tại TpHCM:
- Đội ngũ bác sĩ nha khoa giỏi, tận tâm trên 10 năm kinh nghiệm lâm sàng
- Trang thiết bị khám hiện đại, đồng bộ
- Quy trình chuyên nghiệp và phải được thăm khám bởi bác sĩ để đánh giá tình trạng tổn thương răng, từ đó có thể đưa ra phương pháp đúng đắn nhất.
Với hơn 15 năm hoạt động, chúng tôi luôn tâm niệm: “Sự hài lòng của khách hàng là nền tảng vững chắc nhất giúp nha khoa peace phát triển và khách hàng sẽ là người đưa thương hiệu của Peace Dentistry đến với cộng đồng”.
Và bác sĩ giỏi, trang thiết bị hiện đại, vật liệu nha khoa tốt, quy trình chuẩn…là chưa đủ để tạo nên chất lượng dịch vụ tốt cũng như sự yêu mến của khách hàng. Yếu tố quan trọng nhất chính là Y ĐỨC và TẬN TÂM. Không chỉ điều trị tốt mà còn phải là chi phí hợp lý, hiệu quả lâu dài, chu đáo trong phục vụ, nghĩ cho lợi ích của khách hàng. Đó là cách phát triển bền vững và lâu dài nhất. Khách hàng hoàn toàn có thể yên tâm thăm khám và điều trị tại nha khoa. Để được tư vấn trực tiếp, Quý Khách vui lòng liên hệ Hotline: 0978.563.565/0943.563.565/0942.563.565 hoặc inbox đăng ký trực tuyến tại: https://m.me/PeaceDentistry
Hệ Thống Nha Khoa Peace Dentistry:
- CS1: 563 – 565 Trần Hưng Đạo, P.Cầu Kho, Quận 1, TP.HCM
- CS2: 147 Nguyễn Thiện Thuật, Phường 1, Quận 3, TP.HCM
- CS3: 8B Nguyễn Ái Quốc, P.Tân Tiến, Biên Hòa, Đồng Nai
- CS4: 69/1, Phạm Văn Thuận, Bình Đa, Biên Hòa, Đồng Nai
- CS5: 439 Quốc Lộ 1A, KP9, P.Tân Biên, Biên Hòa, Đồng Nai




0 nhận xét:
Đăng nhận xét